




The concept of using tissue grafting to cover exposed root surfaces has been in use for the past twenty years, but the surgical techniques used to accomplish this process have evolved several times over this time frame and each change has made the procedures easier on the patient and more predictable for the surgeon. Early grafting procedures used tissue from the surface of the patient's palate as the donor source for the tissue graft itself. As time progressed, techniques were discovered that allowed a different type of tissue to be taken from an internal layer of the palatal tissue, reducing the patient's recovery significantly. Over the past five years, techniques have again changed and in most cases, a type of “donor tissue” called acellualr dermal matrix is used for most tissue grafting procedures. This is much easier on the patient because it eliminates the need for harvesting tissue from the patient and subsequently, the recovery is relatively easy! This is great news.
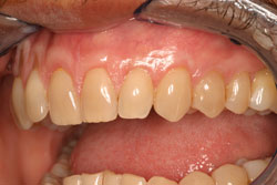
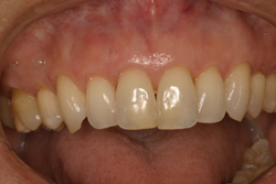
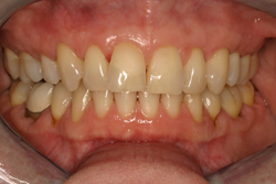
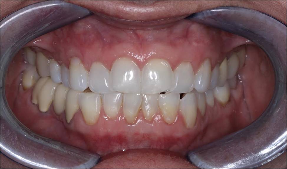
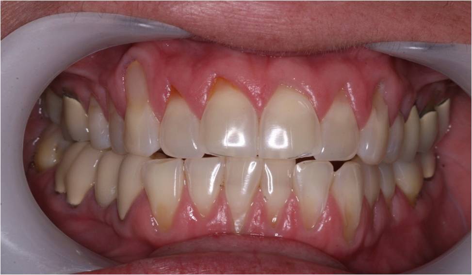
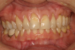
Alloderm Grafting on Upper Teeth

Before After

Before After

Before After
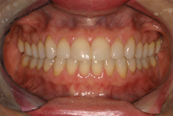
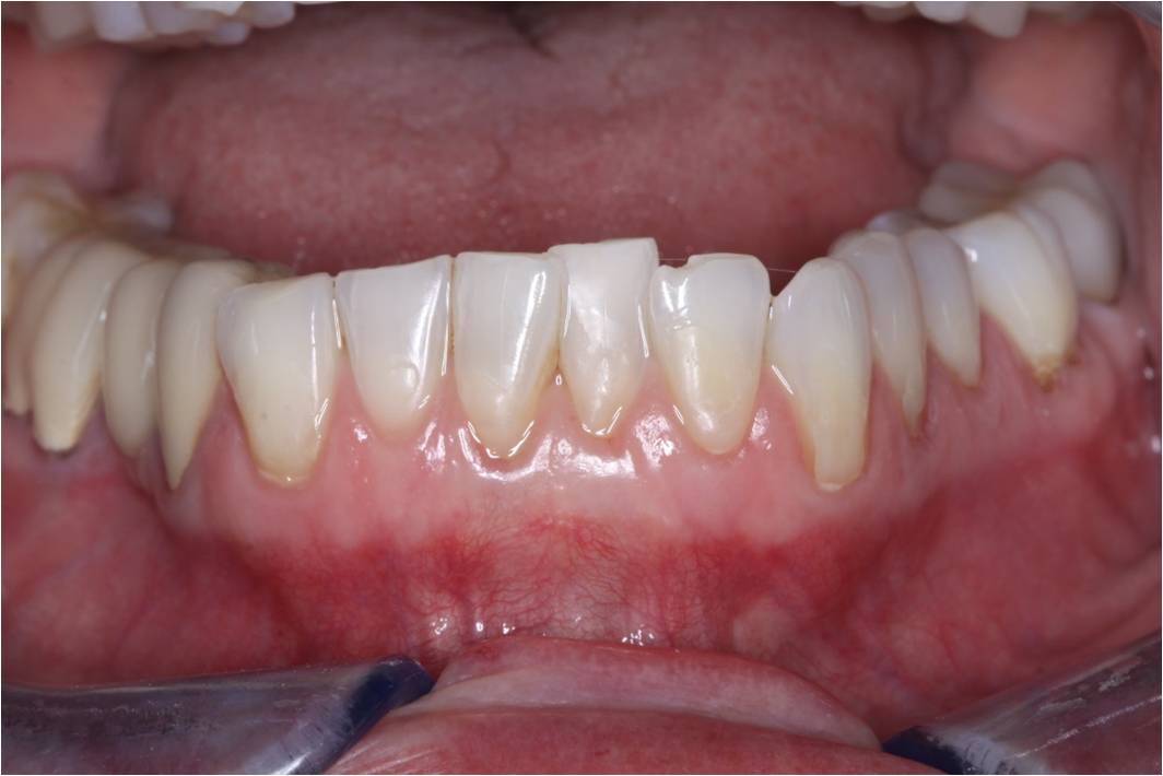
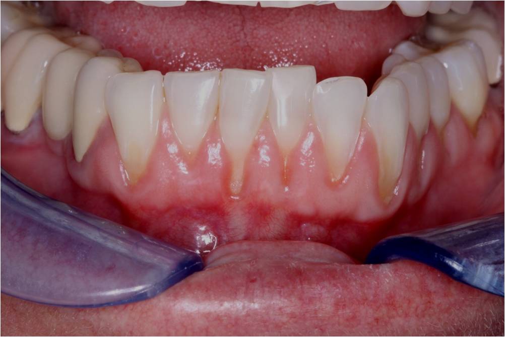
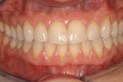
Alloderm Grafting on Lower Teeth

Before After
In the process of root coverage grafting, the surgeon surgically prepares the recipient site by removing contaminates that are covering the exposed root so it can successfully accept and attach to the tissue graft material. The preparation of the tissue around the recipient site is completed with what can be described as a “tunneling” technique where the surgeon prepares the recipient site using microscopic techniques that do not cut the tissue between the teeth. He completes all of his work through the small cuff of tissue that forms the marginal tissue around the junction of your gum tissue and the enamel of the tooth. This limited access technique will allow a very natural and scar free postoperative appearance to your grafted site. In most cases most, if not all, of the exposed root surface can be covered. This amount of root coverage is determined by the level of the bone that is found between the teeth in that region, limiting root coverage if you have lost bone around these same teeth over the years due to gum disease or natural bone level changes. Timely treatment of tissue recession brings more predictable results in most cases.
Recovery following surgery is usually not difficult and a thin layer of a cast material is used to protect the graft site from trauma and movement caused by chewing and brushning. You will only miss work on the day of surgery and a reduced work schedule the following day is recommended if extensive grafting involves more than three teeth in the arch.
The Chao Pinhole® Surgical Technique We excited to now offer the Chao Pinhole® Surgical Technique in our office for our patients. The Chao Pinhole® Surgical Technique is a patented minimally invasive option for treating gum recession. Unlike traditional grafting techniques, PST is incision-free and suture-free. During the Chao Pinhole® Surgical Technique, a needle is used to make a small hole in the patient's existing gum tissue. Through this pinhole, special instruments are used to gently loosen the gum tissue. These tools help expand and slide the gumline to cover the exposed roots. Collagen is placed beneath the gum tissue help thicken and support the surrounding soft tissue and bone. No grafts, no sutures, and no incisions are needed with the Chao Pinhole® Surgical Technique. It simply involves the adjustment of the existing gum tissue.
![]()
What are the benefits of Chao Pinhole® Surgical Technique (PST)?
• Less discomfort for the patient after treatment
• Faster recovery for the patient than traditional grafting
• No need for uncomfortable sutures
• No need for scalpels or invasive surgical tools
• No need to take donor tissue from the patient's palate
• Excellent, natural-looking, long-lasting results
How does the Chao Pinhole® Surgical Technique (PST) differ from traditional gum grafting?
Traditional gum recession treatments involve the use of donor tissue or soft tissue grafts in order to rebuild the gumline. This soft tissue would be sutured in place and would join with existing gum tissue as it healed. While this traditional grafting treatment is effective, comparable results with better patient experience can be achieved through the Chao Pinhole® Surgical Technique.
What is the recovery period like?
Since there is no cutting or suturing, patients can expect minimal post-operative symptoms (pain, swelling, bleeding). Patients are pleasantly surprised by the immediate cosmetic improvement following surgery. Most patients are able to resume light normal activities within 24-48 hours following treatment. Any post operative pain is easily controlled with mild over the counter pain pills (Tylenol, ibuprofen).

Before After

Before After
9398 Viscount Blvd, Suite 1-A | El Paso, TX 79925 | Tel 915-598-6702 | Fax 915-593-7478
Home | General Information | Patient Information | Non-Surgical Periodontal Care | Periodontal Therapies | Dental Implants | Our Doctors & Staff
Contact Us | Referring Doctors | Disclaimer | Sitemap | Periodontic Website Designby PBHS 2012©