





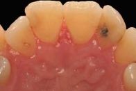
Occasionally, people develop “bumps” on the gums or other discolorations due to trauma, irritations, hormonal imbalances during pregnancy, or with the use of smokeless tobacco. In many instances, these changes are nothing to worry about, but they should be evaluated by a dental professional just to be safe. Certain oral lesions can be cancerous and are best treated in their early stages.
To evaluate these bumps and lesions, Dr. Caldwell or Dr. Dimmitt will perform a procedure known as a biopsy. Depending on the size of the lesion, it will either be removed completely or a small piece will be sampled for further evaluation. The tissue sample is sent to a laboratory for examination under a microscope by a highly trained Oral Pathologist. Our doctors then work with the Oral Pathologist to determine a diagnosis for the lesion. The entire process usually takes a few weeks from the time of biopsy to final diagnosis.

If you would like additional information about biopsy procedures or if you have a “gum bump” that you would like examined by a trained specialist, please contact Drs. Caldwell and Dimmitt and their team.
9398 Viscount Blvd, Suite 1-A | El Paso, TX 79925 | Tel 915-598-6702 | Fax 915-593-7478
Home | General Information | Patient Information | Non-Surgical Periodontal Care | Periodontal Therapies | Dental Implants | Our Doctors & Staff
Contact Us | Referring Doctors | Disclaimer | Sitemap | Periodontic Website Designby PBHS 2012©