




If you are missing a single tooth, an implant and a single crown can now be used to replace your natural tooth! The dental implant and its restoration replace both the missing tooth and its root.
A dental implant provides several advantages over other tooth replacement options when you are missing a tooth. In addition to looking and functioning like a natural tooth, a dental implant replaces a tooth without sacrificing the health of the neighboring teeth that are usually compromised by other replacement methods. The other most common treatment option for replacement of a single tooth, a tooth-supported fixed bridge, requires that the two adjacent teeth be “ground down in size” to make room for crowns that will support the cemented bridge. If these teeth have no previous restorations or problems, you will have to cut two perfectly good teeth down to “thimbles” to hold the new bridge that will replace your missing tooth. Major tooth reduction on bridge supports like this cannot be accomplished without starting a “time-line” for progressive weakening of these natural teeth; teeth that did not originally have a problem themselves. You should ask yourself, “Is it really worth compromising two more natural teeth to replace my missing tooth?”

Did you know that after you lose a tooth, the bone in the empty space is no longer being stimulated by the natural root and the bone slowly begins to dissolve away, creating a steadily growing void? You can stop that breakdown of the bone by placing an implant in the bone before it melts away, providing stimulation of the bone like a natural root. This is particularly important around your front teeth where voids under bridges start as “dark triangles” and grow into dark spaces under bridges and between the adjacent teeth.
In the long term, a single implant can be more esthetic and easier to keep clean than a bridge. We have all seen people with dark lines around their crowns where the situation has been created by gums that recede around a bridge, leaving a visible defect where the metal base or collar of the bridge becomes exposed. This can be complicated when the cement holding the bridge in place is washed out or leaks, allowing bacteria to cause decay under the crowns that anchor the bridge. Most bridges and crowns have to be replaced every eight to twelve years and each time the supporting teeth have to be prepared further to prepare for the new bridge, leaving less and less tooth structure each time. Wouldn’t it be better to leave the natural teeth alone and let an implant carry the load of a single crown instead of asking the adjacent teeth to not only carry their load, but also the pressure and stress of the missing tooth.

First, the implant (small titanium cylinder or screw that looks like a tooth root) is surgically placed into your jawbone where you lost the tooth. Over the next two to five months, the implant and the bone are allowed to bond together to form an anchor for your artificial tooth. During this time, a temporary tooth replacement option can be worn over the implant site so you do not have a “space” where you are missing your tooth.
After the maturation process has been completed, the extension on top of the implant is often changed before the restorative part of the case begins. Sometimes, a second step of the procedure is necessary to uncover the implant and attach this same extension. This small metal post, called an abutment, completes the foundation on which your new tooth will be placed. Your gums will then be allowed to heal for a couple of weeks following this procedure.
Finally, a porcelain prosthesis will be created for you by your dentist and it will be attached to the implant and the abutment. After this has been cemented in place, you will finally experience restored confidence in your smile and your ability to chew and speak.
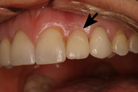
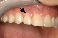
Implant Crowns have Natural Appearance

Before Implant Treatment After Implant Crown Placement
If you are interested in discussing replacement of your missing tooth with an esthetic and naturally functioning smile, ask our staff to arrange a consultation to start your “First Step” towards ultimate dental health and a new confidence in your natural smile. To live a healthy lifestyle means making choices for your physical, emotional, and overall well-being. By continuing to focus on making positive decisions about your health, you can achieve overall wellness!
9398 Viscount Blvd, Suite 1-A | El Paso, TX 79925 | Tel 915-598-6702 | Fax 915-593-7478
Home | General Information | Patient Information | Non-Surgical Periodontal Care | Periodontal Therapies | Dental Implants | Our Doctors & Staff
Contact Us | Referring Doctors | Disclaimer | Sitemap | Periodontic Website Designby PBHS 2012©