




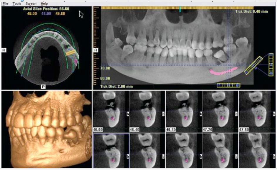
Today’s advanced surgical techniques require precise and informative planning to assure both the surgeon and the patient that as many variables as possible have been considered and analyzed before surgical procedures are commenced. We use a Gendex 500 HD Cone Beam CT Scanner in our office to provide our surgeons with incredibly accurate cross-sectional and 3-dimensional images of our patient’s surgical anatomy. These digital images digitally replicate mouth and jaw anatomy, providing our doctors with critical information concerning precise tooth positions, bone structure, locations of relative anatomy and vital structures using complete 360 degree, three-dimensional scans. Not only can they view the exact nature of your bony anatomy, but they can also use these images in a digitized virtual reality model to evaluate various treatment options that could be utilized in your particular case.
We all have concerns in respect to our exposure to radiation today and this is very important when we consider medical CT imaging. It is critical to understand that the classification of “Cone-Beam Computed Tomography” used in our office is completely different from those related to Medical Grade Computed Tomography. Cone-Beam digital imaging provides high quality imaging with radiation levels that are from 10 to 30 times lower than images from the spherical medical grade scanners used in medicine for routine diagnostic imaging. The Gendex Cone-Beam Scanner reduces this radiation dose even further than many CBCT units by providing the scanning region to be reduced in size and intensity, depending on the information that is being considered by the surgeon.
Click to Enlarge
mSv = milli seivert. uSv = micro seivert. 1mSv is equal to 1000 uSv. 150 uSv is about the amount of radiation used in an Full Mouth Xray Series used by most dentists. Abdominal CT is 20 mSv. An ICAT CBCT is 70 uSv.... So one abdominal medical grade CT is 20000 uSV, or about 285 times more radiation than an ICAT CBCT.
9398 Viscount Blvd, Suite 1-A | El Paso, TX 79925 | Tel 915-598-6702 | Fax 915-593-7478
Home | General Information | Patient Information | Non-Surgical Periodontal Care | Periodontal Therapies | Dental Implants | Our Doctors & Staff
Contact Us | Referring Doctors | Disclaimer | Sitemap | Periodontic Website Designby PBHS 2012©